

Wisdom teeth, also known as third molars, often do not have enough room to erupt properly. At 1Smile Dental, our doctors have advanced oral surgery training and specialize in wisdom teeth removal, allowing us to manage both routine and complex cases safely and efficiently in our Schererville office.
Using advanced imaging, modern surgical techniques, and a patient-first approach, we help prevent long-term complications while keeping your experience as comfortable as possible.
Even if wisdom teeth are not currently painful, they can still cause serious problems beneath the surface. Many issues develop silently and are only detected through proper evaluation and imaging.
Early removal, often recommended in the late teens or early twenties, can reduce surgical complexity and improve healing.
Bacteria can accumulate around partially erupted wisdom teeth, leading to swelling, pain, bad taste, fever, and recurring infections.
Fluid-filled cysts can form around impacted wisdom teeth, gradually damaging surrounding bone and potentially affecting adjacent teeth.
Impacted wisdom teeth can contribute to decay, root resorption, or bone loss in the neighboring second molars.
Because wisdom teeth are difficult to clean, they are a common source of localized periodontal disease.
Pressure from erupting wisdom teeth may contribute to crowding, particularly after orthodontic treatment.

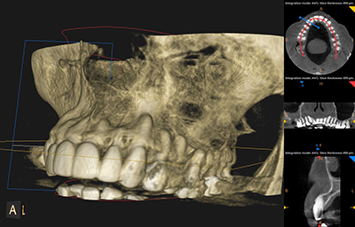
1Smile Dental uses 3D CBCT imaging to evaluate wisdom teeth with precision. This allows us to:
This advanced imaging is especially important for complex or deeply impacted wisdom teeth.
Our process is designed for safety, clarity, and comfort and typically includes:
Sedation options are available for patients who are anxious or undergoing more complex extractions.
Because we provide in-office wisdom teeth removal with advanced oral surgery training, patients do not need to wait months for outside referrals.
Many patients travel from across Northwest Indiana because we evaluate, plan, and remove wisdom teeth in one location.
Long wait times for wisdom teeth removal are common when patients are referred to outside oral surgery offices. At 1Smile Dental, we offer:
This allows us to move from consultation to treatment efficiently while minimizing time away from work or school.
If you are experiencing pain, infection, or planning preventative wisdom teeth removal, our team is prepared to help you move forward with clarity and confidence.
Not always. However, wisdom teeth that are impacted, partially erupted, or difficult to clean often pose future risks even if they are not painful.
The late teens to early twenties is often ideal because roots are less developed and healing is typically faster.
The procedure is performed under anesthesia. Most patients experience manageable soreness afterward that can be controlled with medication and proper aftercare.
Initial healing usually occurs within a few days, with full healing over several weeks depending on the complexity of the extraction.
Yes. 1Smile Dental provides in-office wisdom teeth removal with advanced oral surgery training at our Schererville location.